Lapszemle Weborvos Szintet lépett a ChatGPT: már a háziorvosunk helyét is átvenné 2025. 08. 09. 04:44
Lapszemle Weborvos Szívbetegek, figyelem: laborban növesztenek aprócska emberi szíveket 2025. 08. 09. 04:44
Lyme borreliosis Weborvos A kullancsok ellepik a városi parkokat - Így kerülheted el őket 2025. 08. 09. 04:27
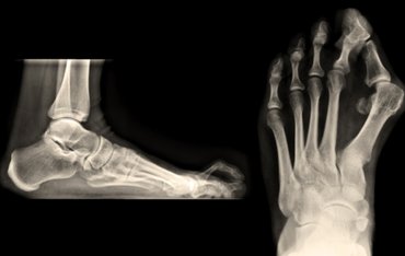
Egészségmagazin Weborvos Bütyök és kalapácsujj: miért alakulnak ki és hogyan kezelhetők tartósan? 2025. 08. 09. 04:15
Lapszemle Weborvos Több millió forintnyi toborzópénzzel csábítanak az egészségügybe 2025. 08. 08. 05:12
Lapszemle Weborvos Életet ment és mindenkit megtalál – egy kis labdázásért cserébe 2025. 08. 08. 05:02
Biofóbia – a természettől idegenkedni nem egyedülálló, érdemes és lehet tenni ellene Horizont • 2 perc